Distal Radius Fractures in Adults
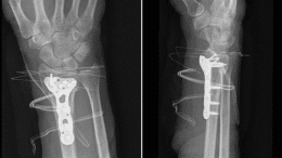
Summary Distal radius Fractures are the most common injury in adults. They involve traumatic lesions of the distal ulna and radius and the proximal carpal…
Summary Distal radius Fractures are the most common injury in adults. They involve traumatic lesions of the distal ulna and radius and the proximal carpal…
Summary Hip fractures are a common medical problem in elderly patients, usually produced by falls, and with an upward trend in the last decades. Hip…